Carillas
Las carillas son finísimas láminas de composite o cerámica que colocamos en la parte
externa de los dientes para modificar su forma y su color. Nos permite crear sonrisas
extraordinarias en muy poco tiempo, sin apenas tener que preparar los dientes y con
resultados fabulosos y muy duraderos. ¿Estás a punto para vivir tu nueva sonrisa?
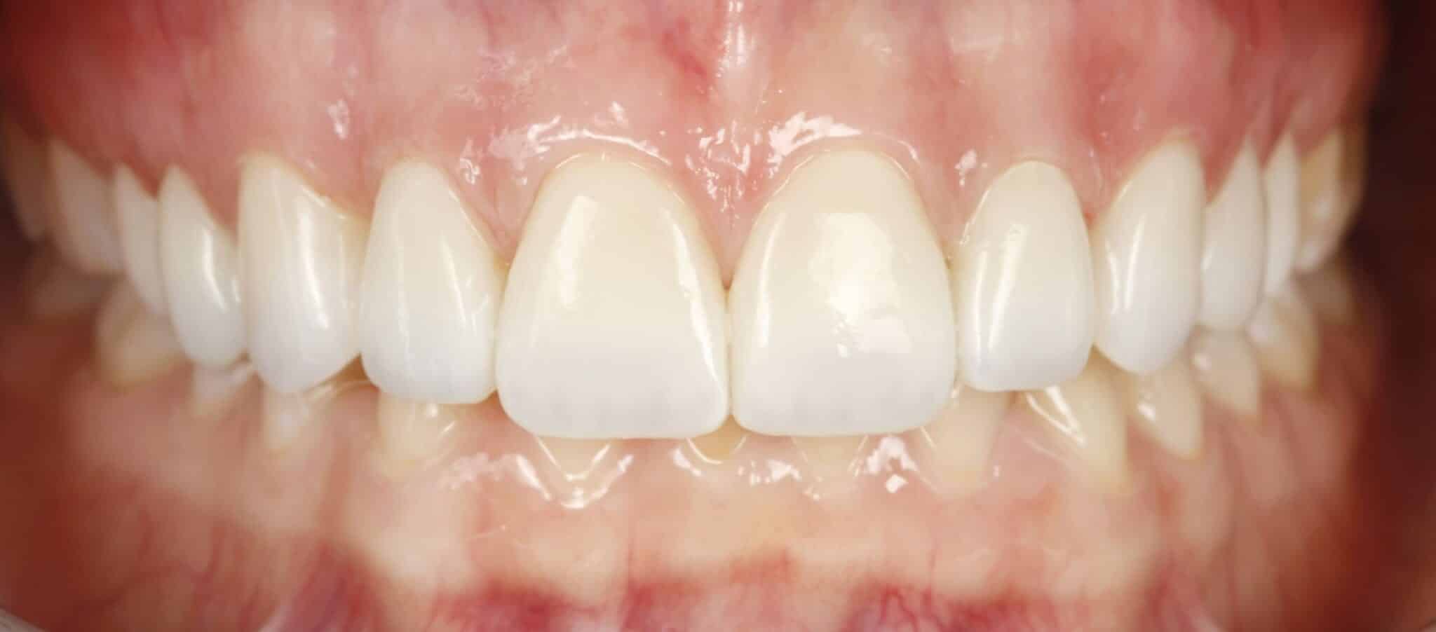
Carillas de composite estratificadas
Marina
antes
después
Procedimiento:
1
En primer lugar tomamos fotografías y escaneado
digital de los dientes. A continuación diseñamos tu
nueva sonrisa siguiendo los parámetros más
perfectos para conseguir tu sonrisa ideal.
2
Basados en este estudio elaboramos un prototipo
digital con el ordenador.
3
Lo imprimimos y así podemos realizar una prueba
estética, para poder verificar, antes de empezar el
tratamiento, si nos gusta el proyecto de tu nueva
sonrisa.
Videotestimonio
Adriana
antes
después
Videotestimonio
Preguntas habituales sobre las carillas dentales de composite
Las carillas de composite se utilizan para mejorar el color, forma, posición, alineación, y en ciertos casos, la textura de los dientes para que sean estéticamente más agradables y atractivos. Normalmente se puede colocar en una sola visita y requieren poca o ninguna preparación en los dientes.
En primer lugar se toman registros como fotografías y modelos digitales, con los que se diseña la sonrisa ideal para cada paciente. A continuación, se elabora un prototipo 3D con el que podemos realizar una prueba estética (aplicando una resina sobre los dientes). Esta prueba nos sirve para comprobar, antes de empezar ningún tratamiento, si nos gustará el resultado final o queremos alguna modificación. Una vez aprobado, el especialista confeccionará las carillas en 1 sola sesión, colocando diferentes tonos de composite adherido en la cara externa de tus dientes siguiendo el diseño realizado. La habilidad y experiencia del especialista, así como la calidad de los materiales empleados determinará la belleza final de la sonrisa conseguida con el tratamiento.
La duración de unas carillas de composite depende mucho de los hábitos de higiene y el cuidado de cada paciente. Normalmente se mantienen muy bien durante 5-10 años. Si se realizan mantenimientos periódicos y se repasa el pulido una vez cada año la duración puede extenderse mucho más tiempo. Las carillas de composite se pueden pulir, reparar o reemplazar sin perjuicio para el diente.
El precio de las carillas de composite varía en función de la técnica, los materiales, el número de carillas a realizar y la complejidad del caso. El precio por carilla puede ir de los 150 hasta los 500€. Lo mejor es programar una visita y nuestro experto realizará un estudio personalizado y un presupuesto detallado sin compromiso.
Las principales ventajas de las carillas de composite son las siguientes:
- Las carillas de composite se elaboran directamente sobre los dientes en una sola sesión, mientras que las de cerámica requieren dos visitas (una para la preparación y toma de registros y otra para la colocación de las carillas).
- El día de la colocación de las carillas se pueden realizar modificaciones a gusto del paciente. Cualquier pequeño retoque (añadir, quitar, alargar, acortar, redondear, etc.) se puede llevar a cabo en la misma visita. También pueden modificarse más adelante, en otra sesión.
- Las carillas de composite son más económicas que las de cerámica.
- Las carillas de composite se pueden modificar, retocar, reparar o reemplazar más fácilmente que las de cerámica.
No lo dudes, si estás pensando en mejorar tu sonrisa y aún sigues teniendo dudas de qué tratamiento se adaptaría mejor a tu situación, deja que nuestros especialistas estudien tu caso, te lo expliquen con detalle, te muestren ejemplos de casos similares y te aconsejen la mejor solución para ti.
Carillas de cerámica
Las carillas de cerámica creadas por ceramistas expertos, consiguen, al igual que las de composite, cambiar tu sonrisa de forma muy bonita y natural. La diferencia está en que el material es más resistente y estable, con lo que se mantienen igual de perfectas después de muchos años y nunca suelen necesitar ser repulidas o mantenidas. El proceso es parecido en cuanto al diseño y las pruebas estéticas, pero en vez de realizarse directamente sobre los dientes, se elaboran fuera de la boca y se colocan (se adhieren al diente) una vez terminadas. La unión de las carillas de composite o de cerámica al diente es muy poderosa y permite llevar una vida totalmente normal (cepillar, masticar, etc. como si no las llevaras). Básicamente solo añadimos unas pocas décimas de cerámica a tu esmalte natural para mejorar tu sonrisa.
Blanca
antes
después
Videotestimonio
Romain
antes
después
Videotestimonio
Preguntas habituales sobre las carillas dentales de cerámica
Las carillas de cerámica pueden mejorar muchas imperfecciones de los dientes incluyendo cambio de color, manchas, decoloraciones, defectos del esmalte, cambio de forma, longitud, posición, proporciones etc. A diferencia de las coronas, las carillas de cerámica no cubren todo el diente. Sólo recubren la parte externa (visible), dando un aspecto más bonito a cada diente.
Hoy en día, en la mayor parte de los casos, podemos realizar carillas de cerámica con mínima preparación (0,2-0,3mm) en la cara externa del esmalte, o incluso, en algunos casos, sin preparación. Con lo cual no se daña apenas el diente. Si algún día retiráramos las carillas, se verían los dientes con el mismo aspecto que tenían originalmente. En aquellos casos en que los dientes se encuentren muy desplazados de su posición ideal, en vez de desgastar los dientes para corregir su aspecto, es preferible llevar a cabo primero un tratamiento de ortodoncia invisible rápida, para colocarlos en su lugar y así no tener que realizarles apenas ninguna preparación.
Si. Las carillas cerámicas elaboradas por expertos ceramistas tienen un aspecto muy natural y muy bonito. Jugando con los grados de translucidez, opalescencia, gradientes de color, etc. se pueden conseguir resultados extraordinarios. El objetivo es que nadie se dé cuenta de que llevas carillas. Simplemente queremos que te digan que tienes una sonrisa muy bonita.
En primer lugar se toman registros como fotografías o modelos 3D de tus dientes, con los que se diseña tu sonrisa ideal, con dientes que tengan la posición, color y proporciones ideales. Basados en este estudio se elabora un prototipo 3D con el que realizamos una prueba estética para comprobar que nos guste cómo te queda el diseño de tu nueva sonrisa antes de empezar el tratamiento. En este punto podemos llevar a cabo cualquier modificación que creamos conveniente. Una vez aprobado, pasamos a realizar las carillas de cerámica. Son necesarias 2 visitas. En la primera se realizan las preparaciones de los dientes que sean imprescindibles y se toman los modelos digitales. Este procedimiento no es molesto ni suele requerir anestesia. En una segunda visita, se prueban las carillas y si nos gusta como quedan se adhieren a los dientes de forma permanente. La unión de las carillas con el esmalte es extraordinariamente fuerte y te permite llevar una vida totalmente normal (cepillar, comer, etc.).
En la mayor parte de los casos, los dientes no se preparan, o se preparan muy poco (0,2-0,3 mm) y sólo en la cara externa de los dientes, lo que resulta casi imperceptible. Este proceso no suele requerir anestesia y no produce ninguna molestia. Esta mínima preparación apenas altera la forma de tus dientes, pero nos permite obtener un resultado mucho más perfecto y natural.
Las carillas de cerámica son muy resistentes a los ataques químicos. Se tiñen o se desgastan menos que el propio esmalte natural de los dientes y no pierden el brillo con los años. Por eso suelen durar muchos años, incluso varias décadas, sin verse alteradas. Por supuesto, que su duración depende también en gran medida del cuidado, higiene oral y revisiones de mantenimientos que realice cada paciente.
Las carillas de cerámica nunca se tiñen, sin embargo, debes seguir utilizando los mismos procedimientos de higiene y mantenimiento que utilizabas con tus dientes antes de tener las carillas.
Este es un factor que será analizado con tu dentista en la evaluación y diseño de la sonrisa para que las carillas sean del mismo color que el resto de dientes. La mayoría de pacientes suelen decidir realizarse un blanqueamiento en los dientes inferiores para conseguir un color igualado y asegurar un mejor resultado final.
La sensación al tacto con la lengua o los labios es muy similar a la que se siente con los dientes naturales. En el primer momento puede sorprenderte tu nuevo aspecto. Te gustará pero te parecerá un poco chocante porque cambiará el aspecto al que te habías habituado. A los pocos días ya te habrás acostumbrado y te encantará tu nueva sonrisa.
Los primeros 5-7 días cebes comer con un poco de precaución para dar tiempo al cerebro a acostumbrarse a la nueva forma. Después de este período inicial no hay ninguna limitación dentro del sentido común.
Si, puedes llevar una vida completamente normal, comer de todo y emplear todos los hábitos de higiene recomendables (cepillado, hilo dental, cepillos interproximales, colutorios, etc.).
No lo dudes, si quieres mejorar tu sonrisa, visítanos y nuestros especialistas te asesorarán sobre cuál es la mejor solución para ti, te mostrarán casos similares y resolverán tus dudas sin compromiso.