Av. del Paral·lel 84, Barcelona

Bruxisme - Desgast dental

Tractament de les dents desgastades

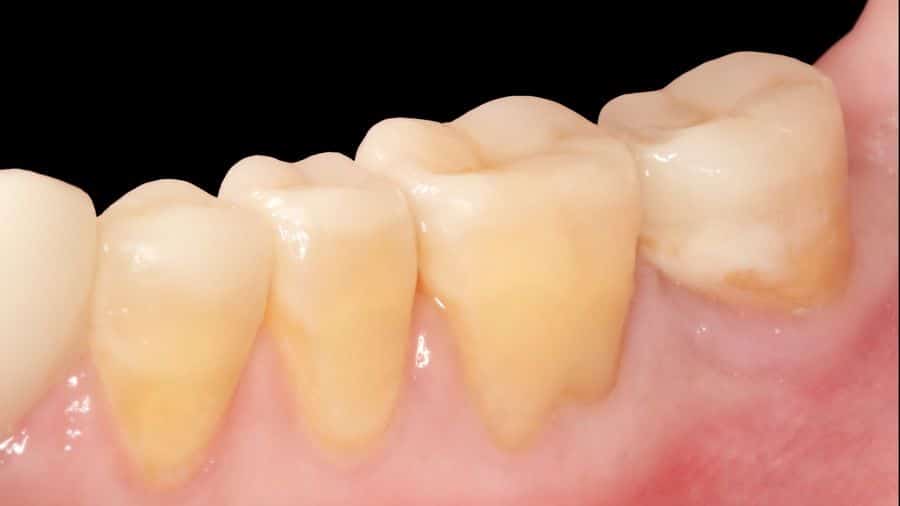
Tens les dents desgastades?

Avui dia podem recompondre’ls i rejovenir la dentadura fàcilment

Quan les dents estan intactes i correctament alineades, cada una té la seva funció, i les dents i els queixals s’ajuden i es protegeixen mútuament. Si no està tot ben situat i equilibrat, o en pacients bruxistes, les dents i els queixals s’acaben desgastant. Les dents no tenen capacitat de regenerar-se, així que cada dècima de mil·límetre que es desgasta, es perd per sempre. I com més es desgasten, més ràpidament progressa el deteriorament, ja que la capa interna de la dentina és molt menys resistent que la zona externa de l’esmalt.

També es va alterant la posició de la mandíbula, i tant els músculs com l’articulació mandibular es poden veure afectats.

Antigament, l’única manera de recompondre una dentició desgastada era col·locant fundes completes en cada dent. Per a això, calia preparar-les rebaixant part de l’esmalt al voltant de cada una d’elles. Avui dia, gràcies als avenços en materials, adhesió dental i les restauracions dissenyades per ordenador mitjançant la tecnologia Cad-Cam, això ja no és necessari.

Podem recuperar la part desgastada sense tocar per a res la part que queda de la dent original. Aquests fragments estètics de resina composta o ceràmica que s’afegeixen a la dent desgastat s’anomenen “table tops” o taules oclusals.

Després d’estudiar l’estat de les dents, músculs i articulació, i analitzant com hauria de ser l’encaix ideal de la dentadura, es fabriquen i s’adhereixen aquestes petites peces, que retornen a les dents la seva forma original, els protegeixen i permeten millorar l’encaix, la funció muscular i articular i ajuden a frenar el deteriorament de les dents.

És un tractament super-conservador i molt apreciat pels pacients, que veuen com en pocs dies recuperen l’aspecte i la funció de la seva dentadura original.

Ismael

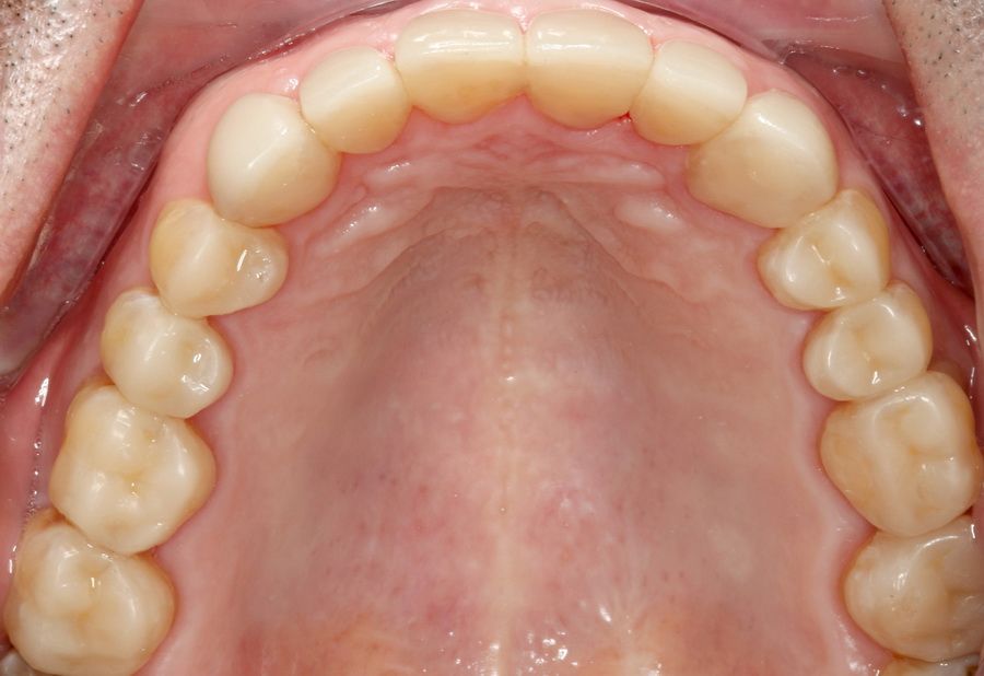
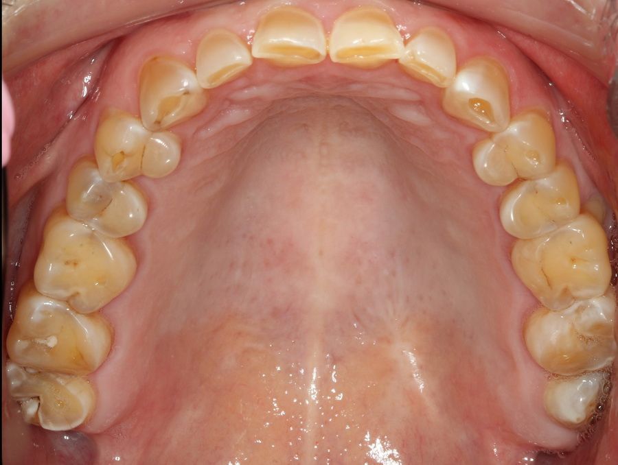
Abans

Deprés

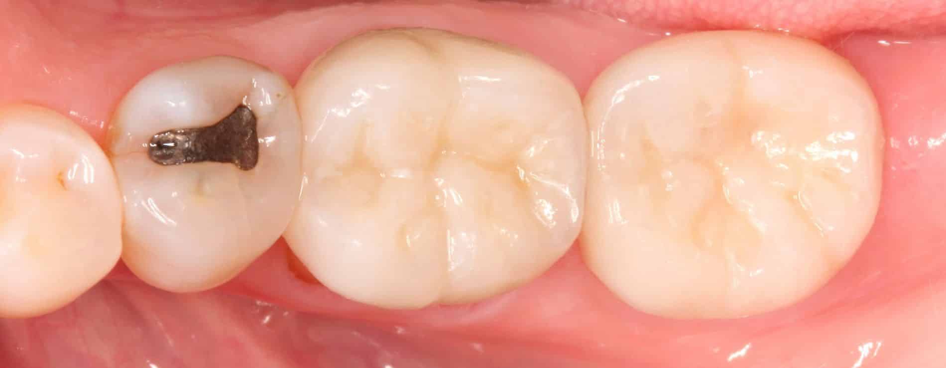
Abans

Deprés

Altres casos

Tractament del bruxisme, l’articulació i els problemes de la masticació (apretament – fregament de dents)

El bruxisme (estrenyiment o grinyolament de dents) és una alteració molt comuna a la població d’avui dia, ja que està molt relacionat amb l’estrès i l’ansietat. Les persones bruxistes estrenyen o freguen fortament les dents superiors i inferiors, un hàbit involuntari que es dóna especialment durant la nit.

A la unió de les arrels de les dents amb l’os dels maxil·lars hi ha uns sensors de pressió, que impedeixen que fem massa força en tancar la boca, per evitar danyar les dents, els músculs o provocar problemes de l’articulació temporomandibular. Tot i això, aquests sensors no ens protegeixen durant els períodes d’inconsciència (com quan estem adormits). És per això que, durant la nit, podem estrènyer les dents amb més força fins i tot que durant el dia.

El bruxisme provoca, amb el temps, desgasts importants a les dents, molèsties musculars, mals de cap i de cervicals, i pot danyar l’ATM (articulació de la mandíbula).

Sovint el bruxisme està relacionat amb un encaix incorrecte de les dents. Si és així, convé rectificar-ho mitjançant ortodòncia o rehabilitant la dentadura desgastada, com hem explicat abans. Si això no és possible, es pot fer un tractament mitjançant fèrules de descàrrega. Hi ha molts tipus i cadascú té la seva indicació. Cal destacar que una placa de descàrrega ha de ser un dispositiu molt ben dissenyat i ajustat a cada cas per part d’un professional expert. No s’ha de confondre amb una planxa de buit, que és un plastiquet fi que recobreix les dents de molt baix cost i que no serveix per tractar eficaçment el bruxisme. Una placa de descàrrega adequada ha de col·locar els còndils a la posició correcta i ha de complir una sèrie de requisits molt precisos per a l’encaix de les dents.

A Clínica Dental Padrós anem més enllà. Estudiem a fons l’origen del problema i el tractem de forma integral. Si estem davant d’un bruxisme incipient, podem prevenir la seva evolució amb l’ús de les nostres còmodes fèrules de descàrrega rígides, amb una capa tova a l’interior i ajustades amb articuladors personalitzats. Si el cas està més avançat, el procediment pot requerir teràpia amb el nostre fisioterapeuta, ajust oclusal, ortodòncia, relaxants intramusculars, plaques de reposicionament, etc.

A més, som pioners en l’aplicació al nostre país del sistema Dros -konzept, (un procediment en diversos passos de relaxament muscular i tractament del bruxisme).

Plaques de descàrrega

Quan hem estudiat el cas, hem diagnosticat correctament el tipus de problema existent i hem elaborat el nostre pla de tractament, pot ser que estigui indicat realitzar una placa de descàrrega.

Una placa de descàrrega és un dispositiu d’acrílic que es col·loca recobrint part de les dents superiors o inferiors i que evita que les dents naturals es desgastin. També cerca crear un encaix ideal en tancar la boca amb la placa posada.

Depenent de en quin estat es trobi l’articulació de la mandíbula, i del tipus de bruxisme o de problema muscular-articular del pacient, el disseny i la funció de la placa de descàrrega variarà.

A la boca, la forma d’encaixar de les dents és un mecanisme d’altíssima precisió. Només el gruix d’un cabell entre les dents és suficient per desequilibrar-lo. Per això, les plaques de descàrrega han d’estar molt ben ajustades i han de complir una sèrie de requisits per dur a terme la funció de protecció, relaxació i recuperació muscular-articular correctament.

És important que siguin còmodes i no es notin estretes.

En tancar la boca, cada dent ha de tocar amb la força adequada. En moure la mandíbula cap als costats i cap endavant, és essencial que controlem amb precisió quines dents toquen i de quina forma, i s’han d’evitar les interferències i els contactes inadequats.

Una dent que contacta quan no ho ha de fer pot provocar una reacció de bruxisme, ja que el cervell l’interpreta com una cosa no desitjada i intenta desgastar-ho o destruir-ho per evitar la interferència.

A més, en tancar la boca, l’articulació de la mandíbula ha de quedar a la posició correcta segons cada cas.

L’ajust i el manteniment adequat d’una placa de descàrrega no és senzill, i ha de ser dut a terme per un professional molt expert en el tema.

Per poder dur a terme els ajustaments més precisos a l’encaix de les dents i de les plaques de descàrrega, disposem del sistema Tekscan, que controla per ordinador fins als detalls més precisos.

El bruxisme provoca danys a les dents, músculs, mals de cap i coll i pot causar problemes de l’articulació de la mandíbula.

El bruxisme (fregament de dents) provoca també abfracció (desgast en coll de les dents, prop de la geniva) i tensió de les cervicals.

Preguntes freqüents sobre el bruxisme, apretament i fregament de dents

El bruxisme, també conegut com a grinyolament de dents, és el tercer trastorn del son més comú (després dels roncs i parlar adormit), tant en adults com en nens. És un problema que passa en persones de qualsevol nivell socioeconòmic i en tots dos sexes. Avui dia, les estadístiques mostren que una de cada quatre persones pateix de bruxisme. El percentatge en nens petits se situa entre el 15% i el 38% mentre que en els adults es troba entre el 22% i el 30% per al bruxisme nocturn i prop del 15% per al bruxisme diürn, provocant un deteriorament en la salut dels pacients afectats.

La majoria grinyolen les dents quan estan sota estrès i ansietat. La desalineació de les dents també pot causar-ho. La manca de dents també poden causar desalineació i, per tant, bruxisme. Els nadons i nens estrenyen les seves mandíbules i freguen entre si quan estan sortint les primeres dents, pel fet que les seves genives li estan fent mal. Altres s’acostumen al moviment circular de les mandíbules quan tenen un xumet a la boca i, quan aquest és retirat, continuen amb aquest moviment. El mal d’oïda també pot causar que alguns nens grinyolin les dents. Els nens i adults hiperactius són més propensos a grinyolar les dents.

Com es pot observar, hi ha multitud de possibles causes i trobar-les pot ser molt difícil, especialment si està relacionat amb l’estrès i l’ansietat. És per això que la majoria dels dentistes recomanem l’ús de protectors dentals per protegir les dents d’un dany més gran i guanyar salut dental.

Bàsicament, es poden dividir en dues categories diferents: signes i símptomes físics o a la teva vida diària. Mirarem detalladament cada categoria per separat. Tanmateix, poden ser experimentats junts.

Els signes i símptomes al cos
Grinyols audibles a la nit

Sovint serà la parella o els pares els que observin els indicis de bruxisme.  Sovint se sent el so de les dents a mesura que les freguem  mentre la persona està adormida. Això de vegades es descriu com un soroll grinyolant. Pot ser prou fort per despertar algú del seu somni.

Aspecte de les dents

Aquest signe pot ser diagnosticat per un examen bàsic al dentista. Les dents tindran un aspecte més pla, en comparació amb les cúspides normals, concavitats i vores presents a les dents sanes. Els indicis del grinyolament de dents també són notables a l’esmalt (la capa dura a la superfície de les dents) en forma d’esgarrapades, estellades o fins i tot esquerdes.
En els casos greus, totes les vores de les dents s’han tornat planes i llises. Per descomptat, una dent està feta de material molt dur, i es triga molt de temps fins que les marques són visibles. Podria donar-se el cas que en les primeres etapes es manifestessin altres signes com dolor, sensibilitat dental o sensibilitat a la mandíbula i els seus músculs.

El dia després

Aquests són els primers signes que sovint alertaran els malalts del seu hàbits en despertar-se. El bruxisme nocturn pot provocar que es desperti amb problemes de salut com mals de cap i coll, mal d’orelles, dolor de la cara, pressió a la mandíbula o dolor a la galta ocasionat per la contracció dels músculs de la mandíbula.

Migranyes

Un altre problema que pot sorgir és un trastorn de l’articulació temporomandibular (ATM). Això es produeix a causa de la tensió i l’estirament dels músculs al voltant de la mandíbula, causant inflamació. Això farà que el dolor al voltant de l’articulació de la mandíbula acabi afectant de vegades també l’oïda. Alguns dels que experimenten aquest problema de manera crònica poden patir pèrdua d’audició, encara que només passa en casos extrems.

Sensibilitat dental

Els que pateixen de bruxisme, poden també patir de sensibilitat dental. El dolor se sent en particular, en menjar o beure alguna cosa calenta o freda. Si les dents són excepcionalment sensibles a la calor i al fred, podria ser perquè l’esmalt a la superfície de les dents s’ha desgastat a causa del bruxisme.

Ferides a l’interior de les galtes

Durant el bruxisme subconscient hi ha la possibilitat de mossegar-se l’interior de les galtes. Si observem marques de mossegades i esgarrapades a galtes i/o llengua tenim clars senyals de bruxisme nocturn.

Els signes i símptomes a la teva vida diària
Hàbits i patrons de comportament

A més de les manifestacions físiques, la malaltia també pot tenir un impacte a la teva vida diària. Hàbits i patrons de comportament com ara mossegar-se les ungles, mastegar la superfície interna de la galta, sostenir objectes com ara un llapis a la boca, són totes les formes en què el cos intenta alliberar l’estrès i l’ansietat.

En la majoria dels casos, aquestes accions són subconscients. Per tant, el dany s’acumula sense que el pacient en sigui conscient, i és per això que el diagnòstic es fa massa tard. Les persones amb aquests hàbits han convertit aquestes accions en una forma automàtica de mitigar l’estrès i no són conscients dels danys causats com a conseqüència.

La manca de son

El grinyolament de dents pot conduir a patrons de son pertorbat, deixant la víctima cansada i atordida l’endemà al matí, sense adonar-se’n de la causa. Encara que no n’és plenament conscient, els pacients poden despertar-se durant la nit ja sigui perquè poden escoltar inconscientment el soroll del fregament de dents o perquè pateixen dolors causats per la tensió muscular. La pèrdua constant de la qualitat del son portarà a altres complicacions socials i de salut, com ara depressió, accidents i relacions tenses.

Trastorns de l’alimentació i la indigestió

Quan aquests problemes d’estrenyiment dental sorgeixen, també poden provocar dificultat per mastegar i menjar els aliments. El dolor i la molèstia en menjar poden causar perdre’s menjars o menjar menys del que és habitual. Si les dents són sensibles o estan desgastades i no poden mastegar correctament els aliments, la indigestió pot aparèixer.

Trastorns emocionals

L’ansietat, la depressió, la tensió i l’estrès també han estat citats com a indicis del bruxisme, possiblement a causa d’altres símptomes com dolor, molèsties i manca de son.

Quan s’experimenten una sèrie de signes de grinyolament de les dents, sovint pot portar a més tensió i estrès. Això pot provocar greus trastorns d’ansietat i depressió, creant un cercle viciós de nerviosisme i dolor.

La investigació mèdica ha demostrat que les persones que estan deprimides són més propenses a grinyolar les dents que altres persones. És per això que és tan important que els afectats trobin la font de la seva ansietat i estrès.

La primera línia de defensa, un cop es diagnostica el bruxisme, és un bon protector dental. Independentment del que diuen molts anuncis, els protectors bucals no curen el bruxisme, només eviten el frec de les dents les unes amb les altres. Tot i això, és tot el que necessiten les persones que pateixen aquest problema quan estan sota estrès, una vegada desapareix l’estrès també ho fa la sobrecàrrega a nivell dental.

La raó més important per a l’ús d’un protector dental tan aviat com sigui possible és per evitar un major dany a les dents. Trobar la causa subjacent pot trigar molt de temps.

Hi ha molts tipus de protectors dentals al mercat. Es diferencien en la qualitat del material i la comoditat que proporcionen. Però els millors protectors bucals són els que estan realitzats a mida de cada pacient a una clínica dental. Pregunta’ns sense compromís i millora la teva salut dental.

Facilitats de pagament fins a 5 anys

Has trobat tota la informació que estaves buscant? T’ha semblat interessant? Deixa’ns la teva valoració:

[ratings]
Ares con un cachorro
Ares junto a un ibon

Ares

Receptionist

Our efficient receptionist is always ready to help, and attends to everyone with a smile. She is also a specialist in osteopathy and massage. She loves the mountains, the beach and animals.

Ares con un cachorro
Ares junto a un ibon

Ares

Recepcionista

La nostra eficaç recepcionista sempre disposada a ajudar, i atenent tothom amb un somriure. També especialista en osteopatia i massatges. Li encanta la muntanya, la platja i els animals.

Angels en la montaña

Angels

Commercial
Department

Our Head of Customer Service among a thousand other things. She organises fantastic team activities for us. She has recently become a proud grandmother. She loves weekend getaways, arts and crafts, and makes a party out of any tradition.

Angels en la montaña

Angels

Departament
Comercial

La nostra cap de Servei d’Atenció al Client entre mil coses més. Ens organitza unes activitats fantàstiques en equip. Recentment ha esdevingut una àvia orgullosa. Li encanta fer escapades de cap de setmana, les manualitats i de qualsevol tradició en fa una festa.

foto de Isabel en la playa

Isabel

Periodontics

Another of our gum specialists, although she is always training in other specialities and has an infinite interest in learning about any subject. She loves the beach because it helps her to ‘reset’ every August.

foto de Isabel en la playa

Isabel

Periodòncia

Una altra de les nostres especialistes en genives, encara que sempre formant-se en altres especialitats i amb un interès infinit per aprendre sobre qualsevol tema. Li encanta la platja perquè l’ajuda a “resetejar-se” cada agost.

foto Dra. Gemma Mayor con su perro

Dra. Gemma Mayor

Oral Rehabilitation

Specialist in Oral Surgery and in alternative integral therapies such as Neural Therapy, Mastication-Respiration Rehabilitation,… She loves dancing, yoga, self-knowledge, travelling, animals and living as much as possible in contact with nature.

foto Dra. Gemma Mayor con su perro

Dra. Gemma Mayor

Rehabilitació oral

Especialista en Cirurgia Oral i en teràpies integrals alternatives com la Teràpia Neural, Rehabilitació masticació-respiració… Li encanta ballar, el ioga, l’autoconeixement, viatjar, els animals i viure el més en contacte possible amb la natura.

La Dra. Jennifer Martín cantando
La Dra. Jennifer Martín practicando el senderismo

Dra. Jennifer Martín

Oral Rehabilitation

She has collaborated with the clinic since she finished her degree and is a lecturer on the Postgraduate Course in Advanced Aesthetics that we teach for other dentists at the Catalan Society of Dentistry. She devotes much of her free time to continuing her education, but she also loves flamenco, ballet, playing the guitar and singing.

La Dra. Jennifer Martín cantando
La Dra. Jennifer Martín practicando el senderismo

Dra. Jennifer Martín

Rehabilitació oral

Ha col·laborat amb la clínica des que va acabar la carrera i és professora titular al Postgrau en Estètica Avançada que impartim per a altres dentistes a la Societat Catalana d’Odontologia. Dedica gran part del seu temps lliure a continuar formant-se, però també li encanta el flamenc, el ballet, tocar la guitarra i cantar.

zapatillas de baile clásico
Anna jugando al sumo

Anna

Auxiliary

Anna, in addition to assisting Dr. José Luis Padrós, is in charge of organising the entire stock of materials, especially the implants. She loves going to her village with her children and meeting friends.

zapatillas de baile clásico
Anna jugando al sumo

Anna

Auxiliar

L’Anna, a més d’assistir al Dr. José Luis Padrós, és l’encarregada d’organitzar tot el magatzem de materials, especialment dels implants. Li encanta anar al seu poble amb els fills i quedar amb els amics.

La Dra. Margarita Monterrubio montando a caballo
La Dra. Margarita Monterrubio haciendo senderismo

Dra. Margarita Monterrubio

Orthodontics and General

Co-director of the clinic. Although she has worked in all specialties, what she enjoys most is orthodontics, both in adults and children. In addition to patient care, she is also part of the clinic’s management. As a good islander (she is Mallorcan) she loves the sea, the beach, nature and her great passion is animals, especially horses.

La Dra. Margarita Monterrubio montando a caballo
La Dra. Margarita Monterrubio haciendo senderismo

Dra. Margarita Monterrubio

Ortodòncia i General

Codirectora de la clínica. Tot i que ha treballat en totes les especialitats, de manera que més gaudeix és amb l’ortodòncia, tant en adults com en nens. A més de l’atenció al pacient, porta part de la Gestió de la clínica. Com a bona illenca (és mallorquina), li encanta el mar, la platja, la natura i la seva gran passió són els animals, especialment els cavalls.

La Dra. Inés Fernández Guallart aficionada al teatro

Dra. Inés Fernández Guallart

Oral rehabilitation

Collaborator for some years in the clinic and associate lecturer in the Postgraduate course in Advanced Aesthetics that we teach for other dentists in the Catalan Society of Dentistry. Lecturer at the University of Barcelona. She specialised in the United States in implantology and oral rehabilitation, endodontics, aesthetics, periodontics… She loves theatre, dressing up, travelling, nature walks, and all kinds of handicrafts.

La Dra. Inés Fernández Guallart aficionada al teatro

Dra. Inés Fernández Guallart

Rehabilitació oral

Col·laboradora des de fa uns anys a la clínica i professora associada al Postgrau en Estètica Avançada que impartim per a altres dentistes a la Societat Catalana d’Odontologia. Professora a la Universitat de Barcelona. Es va especialitzar als Estats Units en implantologia i rehabilitació oral, endodòncia, estètica, periodòncia… Gran aficionada al teatre, li encanta disfressar-se, viatjar, passejar per la natura, i manualitats de tota mena.

foto Cristina escalando en roca
foto Cristina subiendo por una escala

Cristina

Auxiliary, Hygienist

Another of our veterans. She is very skilled in all laboratory work, and masters all specialities as an assistant and hygienist. She now assists our collaborators, Dr. Fernández and Dr. Martín. She enjoys hiking and playing beach tennis.

foto Cristina escalando en roca
foto Cristina subiendo por una escala

Cristina

Auxiliar, Higienista

Una altra de les nostres veteranes. Molt hàbil amb tots els treballs de laboratori, i domina totes les especialitats com a auxiliar i higienista. Ara assisteix a les nostres col·laboradores, Dra. Fernández i Dra. Martín. Gaudeix fent senderisme i jugant al Tennis Platja.

zapatillas de baile clásico
mujer acariciando a un gato

Rosa

Auxiliary, Hygienist

Incredible as it may seem, she has been with us for 30 years. He is a hygienist, although she masters all areas of the profession, she is a specialist in “Platelet Rich Plasma”, she is Dr. Monterrubio’s assistant, and she also helps Dr. Padrós to coordinate the Postgraduate Course in Advanced Aesthetics which she directs at the Catalan Society of Odontology. She always makes sure that we are all well. Passionate Ballet and loves cats and travelling.

zapatillas de baile clásico
mujer acariciando a un gato

Rosa

Auxiliar, Higienista

Encara que sembli increïble, porta amb
nosaltres 30 anys. És Higienista,
encara que domina tots els àmbits de
la professió és especialista en
“Plasma Rico en Plaquetes”, és l’auxiliar de la Dra. Monterrubio, i també ajuda el Dr. Padrós a coordinar
el Postgrau d’Estètica Avançada
que dirigeix a la Societat Catalana de
Odontologia. Sempre es preocupa de
que tots estiguem bé. Apassionada
del Ballet i li encanten els gats, i
viatjar.

primer plano de Pilar
Pilar haciendo trecking

Pilar

Auxiliary

She has been working with Dr. Esteban Padrós for a lifetime. Both joined our team definitively in 2020, and we are delighted to have them on board. She loves walks in the mountains and nature.

primer plano de Pilar
Pilar haciendo trecking

Pilar

Auxiliar

Porta tota una vida treballant amb el Dr. Esteban Padrós. Tots dos es van incorporar de manera definitiva al nostre equip el 2020, i estem encantats de comptar-hi. Li encanten les passejades per la muntanya i la natura.

El Dr. Esteban Padrós dibujando
El Dr. Esteban Padrós practicando la fotografía

Dr. Esteban Padrós

Oral rehabilitation

Cousin of Dr. José Luis Padrós, he has been working with us for many years. Fortunately, in 2020 he moved to our clinic permanently. He is also an associate professor in the Postgraduate in Advanced Aesthetics that we teach for other dentists in the Catalan Society of Dentistry. He masters all specialties, and has special skills with the new 3D digital design programs, adapting easily to all new technologies. He loves drawing, photography, sports, travelling, reading, listening to music and cinema.

El Dr. Esteban Padrós dibujando
El Dr. Esteban Padrós practicando la fotografía

Dr. Esteban Padrós

Rehabilitació oral

Cosí del Dr. José Luis Padrós, i fa molts anys que col·labora amb nosaltres. Per sort, el 2020 es va traslladar a la nostra clínica de manera definitiva. També és professor associat al Postgrau en Estètica Avançada que impartim per a altres dentistes a la Societat Catalana d’Odontologia. Domina totes les especialitats i té especial habilitat amb els nous programes de disseny digital 3D adaptant-se amb facilitat a totes les noves tecnologies. Us encanta el dibuix, la fotografia, l’esport, els viatges, llegir, escoltar música i el cinema.

Raquel riendo con su hija
Raquel leyendo y haciendo senderismo con su hija

Raquel

Periodontics

She is one of our gum specialists, although she really helps us with a thousand other things. She started with us when she was very young. She loves reading, dogs, walks in the countryside, she is an excellent cook, but what she enjoys most is doing any of these things with her wonderful daughter.

Raquel riendo con su hija
Raquel leyendo y haciendo senderismo con su hija

Raquel

Periodòncia

Una de les nostres especialistes a genives, encara que realment ens ajuda en mil coses més. Començo de molt joveneta amb nosaltres. Li encanta llegir, els gossos, les excursions pel camp, és una cuinera excel·lent, però del que més gaudeix és fer qualsevol d’aquestes coses amb la seva meravellosa filla.

El Dr. José Luis Padrós en el gimnasio

Dr. Jose Luis Padrós

Scientific Director

Alma mater of our clinic. Director of the Postgraduate Course in Advanced Aesthetics that we teach for other dentists at the Catalan Society of Dentistry. Insatiable supplier of new techniques and materials, especially in the fields of dental aesthetics, rehabilitation with prostheses and implantology. He spends much of his free time preparing for the training he gives, but still finds time to cycle, ski, play tennis, golf and paddle tennis.

El Dr. José Luis Padrós en el gimnasio

Dr. Jose Luis Padrós

Director científic

Ànima mater de la nostra clínica. Director del Postgrau en Estètica Avançada que impartim per a altres dentistes a la Societat Catalana d’Odontologia. Proveïdor insaciable de noves tècniques i materials especialment als àmbits de l’Estètica dental, la rehabilitació amb pròtesis i la implantologia. Dedica gran part del seu temps lliure a preparar les formacions que imparteix, però encara aconsegueix moments per fer bicicleta, esquiar, jugar a tennis, golf i pàdel.

foto Inés primer plano
foto Inés practicando sernderismo

Inés

Maintenance

She has been in the family since she was very young. She keeps our clinic spotless and magazine-ready following strict cleaning protocols. She loves walks in the countryside, picking asparagus and mushrooms, cooking, handicrafts, she is a painter and enjoys trips with her friends.

foto Inés primer plano
foto Inés practicando sernderismo

Inés

Manteniment

Porta a la família des de molt joveneta. Manté la nostra clínica impol·luta ia punt de revista seguint estrictes protocols de neteja. Li encanten les passejades pel camp, collir espàrrecs i bolets, cuinar, les manualitats, és pintora i gaudeix de les escapades amb les seves amigues.

foto Esther en África con niños
foto Esther en África comiendo con unos niños

Esther

Periodontics

Gum specialist. She is a dreamer, creative, involved in a thousand social causes. She is in love with Africa, especially with her children.

foto Esther en África con niños
foto Esther en África comiendo con unos niños

Esther

Periodòncia

Especialista en genives. És somiadora, creativa, implicada en mil causes socials. Enamorada d´Àfrica, especialment dels seus nens.

foto Esther en África con niños
foto Esther en África comiendo con unos niños

Esther

Periodoncia

Especialista en encías. Es soñadora, creativa, implicada en mil causas sociales. Enamorada de África, especialmente de sus niños.

foto Inés primer plano
foto Inés practicando sernderismo

Inés

Mantenimiento

Lleva en la familia desde muy jovencita. Mantiene nuestra clínica impoluta y a punto de revista siguiendo estrictos protocolos de limpieza. Le encantan los paseos por el campo, coger espárragos y setas, cocinar, las manualidades, es pintora y disfruta de las escapadas con sus amigas.

foto Dra. Gemma Mayor con su perro

Dra. Gemma Mayor

Rehabilitación oral

Especialista en Cirugía Oral y en terapias integrales alternativas como la Terapia Neural, Rehabilitación masticación-respiración,… Le encanta bailar, el yoga, el autoconocimiento, viajar, los animales y vivir lo más en contacto posible con la naturaleza.

La Dra. Jennifer Martín cantando
La Dra. Jennifer Martín practicando el senderismo

Dra. Jennifer Martín

Rehabilitación oral

Ha colaborado con la clínica desde que acabó la carrera y es profesora titular en el Postgrado en Estética Avanzada que impartimos para otros dentistas en la Sociedad Catalana de Odontología. Dedica gran parte de su tiempo libre a seguir formándose, pero también le encanta el flamenco, el ballet, tocar la guitarra y cantar.

Ares con un cachorro
Ares junto a un ibon

Ares

Recepcionista

Nuestra eficaz recepcionista siempre dispuesta a ayudar, y atendiendo a todo el mundo con una sonrisa. También especialista en osteopatía y masajes. Le encanta la montaña, la playa y los animales.

Angels en la montaña

Angels

Departamento
Comercial

Nuestra jefa de Servicio de Atención al Cliente entre mil cosas más. Nos organiza unas fantásticas actividades en equipo. Recientemente se ha convertido en una orgullosa abuela. Le encanta hacer escapadas de fin de semana, las manualidades, y de cualquier tradición hace una fiesta.

foto de Isabel en la playa

Isabel

Periodoncia

Otra de nuestras especialistas en encías, aunque siempre formándose en otras especialidades y con un interés infinito por aprender sobre cualquier tema. Le encanta la playa porque le ayuda a “resetearse”cada Agosto.

zapatillas de baile clásico
Anna jugando al sumo

Anna

Auxiliar

Anna, además de asistir al Dr. José Luis Padrós, es la encargada de organizar todo el almacén de materiales, especialmente de los implantes. Le encanta ir a su pueblo con sus hijos y quedar con los amigos.

La Dra. Margarita Monterrubio montando a caballo
La Dra. Margarita Monterrubio haciendo senderismo

Dra. Margarita Monterrubio

Ortodoncia y General

Codirectora de la clínica. Aunque ha trabajado en todas las especialidades, con lo que más disfruta es con la ortodoncia, tanto en adultos como en niños. Además de la atención al paciente lleva parte de la Gestión de la clínica. Como buena isleña (es mallorquina) le encanta el mar, la playa, la naturaleza y su gran pasión son los animales, especialmente los caballos.

La Dra. Inés Fernández Guallart aficionada al teatro

Dra. Inés Fernández Guallart

Rehabilitación oral

Colaboradora desde hace unos años en la clínica y profesora asociada en el Postgrado en Estética Avanzada que impartimos para otros dentistas en la Sociedad Catalana de Odontología. Profesora en la Universidad de Barcelona. Se especializó en Estados Unidos en implantología y rehabilitación oral, endodoncia, estética, periodoncia… Gran aficionada al teatro, le encanta disfrazarse, viajar, pasear por la naturaleza, y manualidades de todo tipo.

foto Cristina escalando en roca
foto Cristina subiendo por una escala

Cristina

Auxiliar, Higienista

Otra de nuestras veteranas. Muy hábil con todos los trabajos de laboratorio, y domina todas las especialidades como auxiliar e higienista. Ahora asiste a nuestras colaboradoras, Dra. Fernández y Dra. Martín. Disfruta haciendo senderismo y jugando al Tenis Playa.

primer plano de Pilar
Pilar haciendo trecking

Pilar

Auxiliar

Lleva toda una vida trabajando con el Dr. Esteban Padrós. Ambos se incorporaron de manera definitiva a nuestro equipo en el 2020, y estamos encantados de contar con ellos. Le encantan los paseos por la montaña y la naturaleza.

El Dr. Esteban Padrós dibujando
El Dr. Esteban Padrós practicando la fotografía

Dr. Esteban Padrós

Rehabilitación oral

Primo del Dr. José Luis Padrós, y lleva muchos años colaborando con nosotros. Por suerte, en el 2020 se trasladó a nuestra clínica de manera definitiva. También es profesor asociado en el Postgrado en Estética Avanzada que impartimos para otros dentistas en la Sociedad Catalana de Odontología. Domina todas las especialidades, y tiene especial habilidad con los nuevos programas de diseño digital 3D adaptándose con facilidad a todas las nuevas tecnologías. Le encanta el dibujo, la fotografía, el deporte, los viajes, leer, escuchar música y el cine.

Raquel riendo con su hija
Raquel leyendo y haciendo senderismo con su hija

Raquel

Periodoncia

Una de nuestras especialistas en encías, aunque realmente nos ayuda en mil cosas más. Empezo de muy jovencita con nosotros. Le encanta leer, los perros, las excursiones por el campo, es una cocinera excelente, pero de lo que más disfruta es de hacer cualquiera de estas cosas con su maravillosa hija.

El Dr. José Luis Padrós en el gimnasio

Dr. Jose Luis Padrós

Director científico

Alma mater de nuestra clínica. Director del Postgrado en Estética Avanzada que impartimos para otros dentistas en la Sociedad Catalana de Odontología. Proveedor insaciable de nuevas técnicas y materiales especialmente en los ámbitos de la Estética dental, la rehabilitación con prótesis y la implantología. Dedica gran parte de su tiempo libre a preparar las formaciones que imparte, pero aun consigue momentos para hacer bicicleta, esquiar, jugar al tenis, al golf y al pádel.

zapatillas de baile clásico
mujer acariciando a un gato

Rosa

Auxiliar, Higienista

Aunque parezca increible, lleva con
nosotros 30 años. Es Higienista,
aunque domina todos los ámbitos de
la profesión es especialista en
“Plasma Rico en Plaquetas”, es la auxiliar de la Dra. Monterrubio, y también ayuda al Dr. Padrós a coordinar
el Postgrado de Estética Avanzada
que dirige en la Sociedad Catalana de
Odontología. Siempre se preocupa de
que todos estemos bien. Apasionada
del Ballet y le encantan los gatos, y
viajar.