Av. del Paral·lel 84, Barcelona

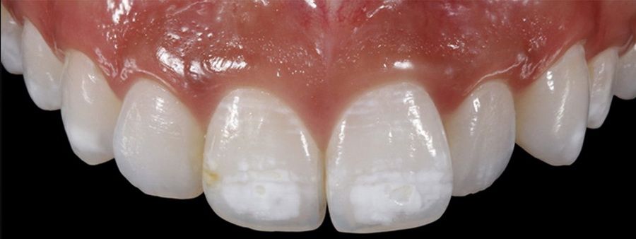
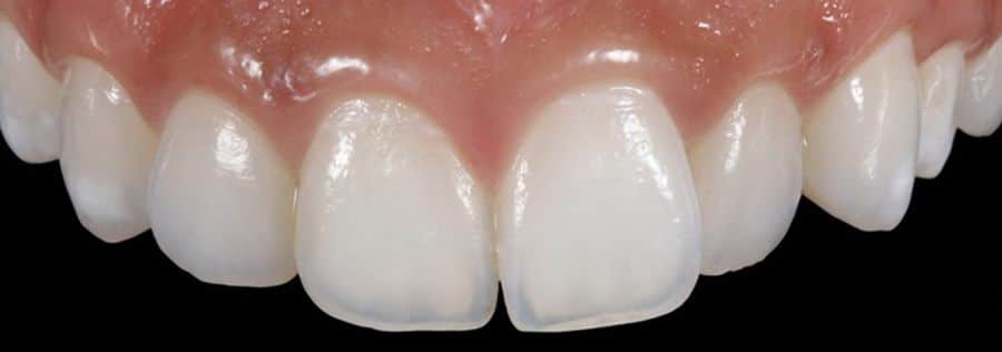
Icon – Opalustre removes fluorosis stains

Do you have white or brown spots on your teeth and would like to remove them very conservatively?

These types of stains are usually a defect generated in the dental enamel during the tooth formation process. They are usually caused by an excess of fluoride (fluorosis) or by a calcification defect

Microerosion-infiltration systems such as Icon® or Opalustre® allow the unsightly effect of these stains to be eliminated or concealed without the need for turbines, coating materials or veneers. The process is carried out in a single session, without the need for anesthesia and without any discomfort.

The treatment consists of a dissolution of the damaged tissue, and a subsequent reinfiltration-remineralization process that allows the stains to be removed and the tooth to return to its natural appearance.

Micro-erosion-filtration systems such as Icon® or Opalustre® make it possible to eliminate or largely disguise the unsightly effect of these stains without the use of turbines or coating materials or veneers. Padrós Dental Clinic, dentist in Barcelona

The effect, once the stain is removed, is permanent and the stain does not reappear.

It is a very comfortable technique for the patient and offers a very visual result.

Micro-erosion-filtration systems such as Icon® or Opalustre® make it possible to eliminate or largely disguise the unsightly effect of these stains without the use of turbines or coating materials or veneers. Padrós Dental Clinic, dentist in Barcelona
Micro-erosion-filtration systems such as Icon® or Opalustre® make it possible to eliminate or largely disguise the unsightly effect of these stains without the use of turbines or coating materials or veneers. Padrós Dental Clinic, dentist in Barcelona
Micro-erosion-filtration systems such as Icon® or Opalustre® make it possible to eliminate or largely disguise the unsightly effect of these stains without the use of turbines or coating materials or veneers. Padrós Dental Clinic, dentist in Barcelona
Ares con un cachorro
Ares junto a un ibon

Ares

Receptionist

Our efficient receptionist is always ready to help, and attends to everyone with a smile. She is also a specialist in osteopathy and massage. She loves the mountains, the beach and animals.

Ares con un cachorro
Ares junto a un ibon

Ares

Recepcionista

La nostra eficaç recepcionista sempre disposada a ajudar, i atenent tothom amb un somriure. També especialista en osteopatia i massatges. Li encanta la muntanya, la platja i els animals.

Angels en la montaña

Angels

Commercial
Department

Our Head of Customer Service among a thousand other things. She organises fantastic team activities for us. She has recently become a proud grandmother. She loves weekend getaways, arts and crafts, and makes a party out of any tradition.

Angels en la montaña

Angels

Departament
Comercial

La nostra cap de Servei d’Atenció al Client entre mil coses més. Ens organitza unes activitats fantàstiques en equip. Recentment ha esdevingut una àvia orgullosa. Li encanta fer escapades de cap de setmana, les manualitats i de qualsevol tradició en fa una festa.

foto de Isabel en la playa

Isabel

Periodontics

Another of our gum specialists, although she is always training in other specialities and has an infinite interest in learning about any subject. She loves the beach because it helps her to ‘reset’ every August.

foto de Isabel en la playa

Isabel

Periodòncia

Una altra de les nostres especialistes en genives, encara que sempre formant-se en altres especialitats i amb un interès infinit per aprendre sobre qualsevol tema. Li encanta la platja perquè l’ajuda a “resetejar-se” cada agost.

foto Dra. Gemma Mayor con su perro

Dra. Gemma Mayor

Oral Rehabilitation

Specialist in Oral Surgery and in alternative integral therapies such as Neural Therapy, Mastication-Respiration Rehabilitation,… She loves dancing, yoga, self-knowledge, travelling, animals and living as much as possible in contact with nature.

foto Dra. Gemma Mayor con su perro

Dra. Gemma Mayor

Rehabilitació oral

Especialista en Cirurgia Oral i en teràpies integrals alternatives com la Teràpia Neural, Rehabilitació masticació-respiració… Li encanta ballar, el ioga, l’autoconeixement, viatjar, els animals i viure el més en contacte possible amb la natura.

La Dra. Jennifer Martín cantando
La Dra. Jennifer Martín practicando el senderismo

Dra. Jennifer Martín

Oral Rehabilitation

She has collaborated with the clinic since she finished her degree and is a lecturer on the Postgraduate Course in Advanced Aesthetics that we teach for other dentists at the Catalan Society of Dentistry. She devotes much of her free time to continuing her education, but she also loves flamenco, ballet, playing the guitar and singing.

La Dra. Jennifer Martín cantando
La Dra. Jennifer Martín practicando el senderismo

Dra. Jennifer Martín

Rehabilitació oral

Ha col·laborat amb la clínica des que va acabar la carrera i és professora titular al Postgrau en Estètica Avançada que impartim per a altres dentistes a la Societat Catalana d’Odontologia. Dedica gran part del seu temps lliure a continuar formant-se, però també li encanta el flamenc, el ballet, tocar la guitarra i cantar.

zapatillas de baile clásico
Anna jugando al sumo

Anna

Auxiliary

Anna, in addition to assisting Dr. José Luis Padrós, is in charge of organising the entire stock of materials, especially the implants. She loves going to her village with her children and meeting friends.

zapatillas de baile clásico
Anna jugando al sumo

Anna

Auxiliar

L’Anna, a més d’assistir al Dr. José Luis Padrós, és l’encarregada d’organitzar tot el magatzem de materials, especialment dels implants. Li encanta anar al seu poble amb els fills i quedar amb els amics.

La Dra. Margarita Monterrubio montando a caballo
La Dra. Margarita Monterrubio haciendo senderismo

Dra. Margarita Monterrubio

Orthodontics and General

Co-director of the clinic. Although she has worked in all specialties, what she enjoys most is orthodontics, both in adults and children. In addition to patient care, she is also part of the clinic’s management. As a good islander (she is Mallorcan) she loves the sea, the beach, nature and her great passion is animals, especially horses.

La Dra. Margarita Monterrubio montando a caballo
La Dra. Margarita Monterrubio haciendo senderismo

Dra. Margarita Monterrubio

Ortodòncia i General

Codirectora de la clínica. Tot i que ha treballat en totes les especialitats, de manera que més gaudeix és amb l’ortodòncia, tant en adults com en nens. A més de l’atenció al pacient, porta part de la Gestió de la clínica. Com a bona illenca (és mallorquina), li encanta el mar, la platja, la natura i la seva gran passió són els animals, especialment els cavalls.

La Dra. Inés Fernández Guallart aficionada al teatro

Dra. Inés Fernández Guallart

Oral rehabilitation

Collaborator for some years in the clinic and associate lecturer in the Postgraduate course in Advanced Aesthetics that we teach for other dentists in the Catalan Society of Dentistry. Lecturer at the University of Barcelona. She specialised in the United States in implantology and oral rehabilitation, endodontics, aesthetics, periodontics… She loves theatre, dressing up, travelling, nature walks, and all kinds of handicrafts.

La Dra. Inés Fernández Guallart aficionada al teatro

Dra. Inés Fernández Guallart

Rehabilitació oral

Col·laboradora des de fa uns anys a la clínica i professora associada al Postgrau en Estètica Avançada que impartim per a altres dentistes a la Societat Catalana d’Odontologia. Professora a la Universitat de Barcelona. Es va especialitzar als Estats Units en implantologia i rehabilitació oral, endodòncia, estètica, periodòncia… Gran aficionada al teatre, li encanta disfressar-se, viatjar, passejar per la natura, i manualitats de tota mena.

foto Cristina escalando en roca
foto Cristina subiendo por una escala

Cristina

Auxiliary, Hygienist

Another of our veterans. She is very skilled in all laboratory work, and masters all specialities as an assistant and hygienist. She now assists our collaborators, Dr. Fernández and Dr. Martín. She enjoys hiking and playing beach tennis.

foto Cristina escalando en roca
foto Cristina subiendo por una escala

Cristina

Auxiliar, Higienista

Una altra de les nostres veteranes. Molt hàbil amb tots els treballs de laboratori, i domina totes les especialitats com a auxiliar i higienista. Ara assisteix a les nostres col·laboradores, Dra. Fernández i Dra. Martín. Gaudeix fent senderisme i jugant al Tennis Platja.

zapatillas de baile clásico
mujer acariciando a un gato

Rosa

Auxiliary, Hygienist

Incredible as it may seem, she has been with us for 30 years. He is a hygienist, although she masters all areas of the profession, she is a specialist in “Platelet Rich Plasma”, she is Dr. Monterrubio’s assistant, and she also helps Dr. Padrós to coordinate the Postgraduate Course in Advanced Aesthetics which she directs at the Catalan Society of Odontology. She always makes sure that we are all well. Passionate Ballet and loves cats and travelling.

zapatillas de baile clásico
mujer acariciando a un gato

Rosa

Auxiliar, Higienista

Encara que sembli increïble, porta amb
nosaltres 30 anys. És Higienista,
encara que domina tots els àmbits de
la professió és especialista en
“Plasma Rico en Plaquetes”, és l’auxiliar de la Dra. Monterrubio, i també ajuda el Dr. Padrós a coordinar
el Postgrau d’Estètica Avançada
que dirigeix a la Societat Catalana de
Odontologia. Sempre es preocupa de
que tots estiguem bé. Apassionada
del Ballet i li encanten els gats, i
viatjar.

primer plano de Pilar
Pilar haciendo trecking

Pilar

Auxiliary

She has been working with Dr. Esteban Padrós for a lifetime. Both joined our team definitively in 2020, and we are delighted to have them on board. She loves walks in the mountains and nature.

primer plano de Pilar
Pilar haciendo trecking

Pilar

Auxiliar

Porta tota una vida treballant amb el Dr. Esteban Padrós. Tots dos es van incorporar de manera definitiva al nostre equip el 2020, i estem encantats de comptar-hi. Li encanten les passejades per la muntanya i la natura.

El Dr. Esteban Padrós dibujando
El Dr. Esteban Padrós practicando la fotografía

Dr. Esteban Padrós

Oral rehabilitation

Cousin of Dr. José Luis Padrós, he has been working with us for many years. Fortunately, in 2020 he moved to our clinic permanently. He is also an associate professor in the Postgraduate in Advanced Aesthetics that we teach for other dentists in the Catalan Society of Dentistry. He masters all specialties, and has special skills with the new 3D digital design programs, adapting easily to all new technologies. He loves drawing, photography, sports, travelling, reading, listening to music and cinema.

El Dr. Esteban Padrós dibujando
El Dr. Esteban Padrós practicando la fotografía

Dr. Esteban Padrós

Rehabilitació oral

Cosí del Dr. José Luis Padrós, i fa molts anys que col·labora amb nosaltres. Per sort, el 2020 es va traslladar a la nostra clínica de manera definitiva. També és professor associat al Postgrau en Estètica Avançada que impartim per a altres dentistes a la Societat Catalana d’Odontologia. Domina totes les especialitats i té especial habilitat amb els nous programes de disseny digital 3D adaptant-se amb facilitat a totes les noves tecnologies. Us encanta el dibuix, la fotografia, l’esport, els viatges, llegir, escoltar música i el cinema.

Raquel riendo con su hija
Raquel leyendo y haciendo senderismo con su hija

Raquel

Periodontics

She is one of our gum specialists, although she really helps us with a thousand other things. She started with us when she was very young. She loves reading, dogs, walks in the countryside, she is an excellent cook, but what she enjoys most is doing any of these things with her wonderful daughter.

Raquel riendo con su hija
Raquel leyendo y haciendo senderismo con su hija

Raquel

Periodòncia

Una de les nostres especialistes a genives, encara que realment ens ajuda en mil coses més. Començo de molt joveneta amb nosaltres. Li encanta llegir, els gossos, les excursions pel camp, és una cuinera excel·lent, però del que més gaudeix és fer qualsevol d’aquestes coses amb la seva meravellosa filla.

El Dr. José Luis Padrós en el gimnasio

Dr. Jose Luis Padrós

Scientific Director

Alma mater of our clinic. Director of the Postgraduate Course in Advanced Aesthetics that we teach for other dentists at the Catalan Society of Dentistry. Insatiable supplier of new techniques and materials, especially in the fields of dental aesthetics, rehabilitation with prostheses and implantology. He spends much of his free time preparing for the training he gives, but still finds time to cycle, ski, play tennis, golf and paddle tennis.

El Dr. José Luis Padrós en el gimnasio

Dr. Jose Luis Padrós

Director científic

Ànima mater de la nostra clínica. Director del Postgrau en Estètica Avançada que impartim per a altres dentistes a la Societat Catalana d’Odontologia. Proveïdor insaciable de noves tècniques i materials especialment als àmbits de l’Estètica dental, la rehabilitació amb pròtesis i la implantologia. Dedica gran part del seu temps lliure a preparar les formacions que imparteix, però encara aconsegueix moments per fer bicicleta, esquiar, jugar a tennis, golf i pàdel.

foto Inés primer plano
foto Inés practicando sernderismo

Inés

Maintenance

She has been in the family since she was very young. She keeps our clinic spotless and magazine-ready following strict cleaning protocols. She loves walks in the countryside, picking asparagus and mushrooms, cooking, handicrafts, she is a painter and enjoys trips with her friends.

foto Inés primer plano
foto Inés practicando sernderismo

Inés

Manteniment

Porta a la família des de molt joveneta. Manté la nostra clínica impol·luta ia punt de revista seguint estrictes protocols de neteja. Li encanten les passejades pel camp, collir espàrrecs i bolets, cuinar, les manualitats, és pintora i gaudeix de les escapades amb les seves amigues.

foto Esther en África con niños
foto Esther en África comiendo con unos niños

Esther

Periodontics

Gum specialist. She is a dreamer, creative, involved in a thousand social causes. She is in love with Africa, especially with her children.

foto Esther en África con niños
foto Esther en África comiendo con unos niños

Esther

Periodòncia

Especialista en genives. És somiadora, creativa, implicada en mil causes socials. Enamorada d´Àfrica, especialment dels seus nens.

foto Esther en África con niños
foto Esther en África comiendo con unos niños

Esther

Periodoncia

Especialista en encías. Es soñadora, creativa, implicada en mil causas sociales. Enamorada de África, especialmente de sus niños.

foto Inés primer plano
foto Inés practicando sernderismo

Inés

Mantenimiento

Lleva en la familia desde muy jovencita. Mantiene nuestra clínica impoluta y a punto de revista siguiendo estrictos protocolos de limpieza. Le encantan los paseos por el campo, coger espárragos y setas, cocinar, las manualidades, es pintora y disfruta de las escapadas con sus amigas.

foto Dra. Gemma Mayor con su perro

Dra. Gemma Mayor

Rehabilitación oral

Especialista en Cirugía Oral y en terapias integrales alternativas como la Terapia Neural, Rehabilitación masticación-respiración,… Le encanta bailar, el yoga, el autoconocimiento, viajar, los animales y vivir lo más en contacto posible con la naturaleza.

La Dra. Jennifer Martín cantando
La Dra. Jennifer Martín practicando el senderismo

Dra. Jennifer Martín

Rehabilitación oral

Ha colaborado con la clínica desde que acabó la carrera y es profesora titular en el Postgrado en Estética Avanzada que impartimos para otros dentistas en la Sociedad Catalana de Odontología. Dedica gran parte de su tiempo libre a seguir formándose, pero también le encanta el flamenco, el ballet, tocar la guitarra y cantar.

Ares con un cachorro
Ares junto a un ibon

Ares

Recepcionista

Nuestra eficaz recepcionista siempre dispuesta a ayudar, y atendiendo a todo el mundo con una sonrisa. También especialista en osteopatía y masajes. Le encanta la montaña, la playa y los animales.

Angels en la montaña

Angels

Departamento
Comercial

Nuestra jefa de Servicio de Atención al Cliente entre mil cosas más. Nos organiza unas fantásticas actividades en equipo. Recientemente se ha convertido en una orgullosa abuela. Le encanta hacer escapadas de fin de semana, las manualidades, y de cualquier tradición hace una fiesta.

foto de Isabel en la playa

Isabel

Periodoncia

Otra de nuestras especialistas en encías, aunque siempre formándose en otras especialidades y con un interés infinito por aprender sobre cualquier tema. Le encanta la playa porque le ayuda a “resetearse”cada Agosto.

zapatillas de baile clásico
Anna jugando al sumo

Anna

Auxiliar

Anna, además de asistir al Dr. José Luis Padrós, es la encargada de organizar todo el almacén de materiales, especialmente de los implantes. Le encanta ir a su pueblo con sus hijos y quedar con los amigos.

La Dra. Margarita Monterrubio montando a caballo
La Dra. Margarita Monterrubio haciendo senderismo

Dra. Margarita Monterrubio

Ortodoncia y General

Codirectora de la clínica. Aunque ha trabajado en todas las especialidades, con lo que más disfruta es con la ortodoncia, tanto en adultos como en niños. Además de la atención al paciente lleva parte de la Gestión de la clínica. Como buena isleña (es mallorquina) le encanta el mar, la playa, la naturaleza y su gran pasión son los animales, especialmente los caballos.

La Dra. Inés Fernández Guallart aficionada al teatro

Dra. Inés Fernández Guallart

Rehabilitación oral

Colaboradora desde hace unos años en la clínica y profesora asociada en el Postgrado en Estética Avanzada que impartimos para otros dentistas en la Sociedad Catalana de Odontología. Profesora en la Universidad de Barcelona. Se especializó en Estados Unidos en implantología y rehabilitación oral, endodoncia, estética, periodoncia… Gran aficionada al teatro, le encanta disfrazarse, viajar, pasear por la naturaleza, y manualidades de todo tipo.

foto Cristina escalando en roca
foto Cristina subiendo por una escala

Cristina

Auxiliar, Higienista

Otra de nuestras veteranas. Muy hábil con todos los trabajos de laboratorio, y domina todas las especialidades como auxiliar e higienista. Ahora asiste a nuestras colaboradoras, Dra. Fernández y Dra. Martín. Disfruta haciendo senderismo y jugando al Tenis Playa.

primer plano de Pilar
Pilar haciendo trecking

Pilar

Auxiliar

Lleva toda una vida trabajando con el Dr. Esteban Padrós. Ambos se incorporaron de manera definitiva a nuestro equipo en el 2020, y estamos encantados de contar con ellos. Le encantan los paseos por la montaña y la naturaleza.

El Dr. Esteban Padrós dibujando
El Dr. Esteban Padrós practicando la fotografía

Dr. Esteban Padrós

Rehabilitación oral

Primo del Dr. José Luis Padrós, y lleva muchos años colaborando con nosotros. Por suerte, en el 2020 se trasladó a nuestra clínica de manera definitiva. También es profesor asociado en el Postgrado en Estética Avanzada que impartimos para otros dentistas en la Sociedad Catalana de Odontología. Domina todas las especialidades, y tiene especial habilidad con los nuevos programas de diseño digital 3D adaptándose con facilidad a todas las nuevas tecnologías. Le encanta el dibujo, la fotografía, el deporte, los viajes, leer, escuchar música y el cine.

Raquel riendo con su hija
Raquel leyendo y haciendo senderismo con su hija

Raquel

Periodoncia

Una de nuestras especialistas en encías, aunque realmente nos ayuda en mil cosas más. Empezo de muy jovencita con nosotros. Le encanta leer, los perros, las excursiones por el campo, es una cocinera excelente, pero de lo que más disfruta es de hacer cualquiera de estas cosas con su maravillosa hija.

El Dr. José Luis Padrós en el gimnasio

Dr. Jose Luis Padrós

Director científico

Alma mater de nuestra clínica. Director del Postgrado en Estética Avanzada que impartimos para otros dentistas en la Sociedad Catalana de Odontología. Proveedor insaciable de nuevas técnicas y materiales especialmente en los ámbitos de la Estética dental, la rehabilitación con prótesis y la implantología. Dedica gran parte de su tiempo libre a preparar las formaciones que imparte, pero aun consigue momentos para hacer bicicleta, esquiar, jugar al tenis, al golf y al pádel.

zapatillas de baile clásico
mujer acariciando a un gato

Rosa

Auxiliar, Higienista

Aunque parezca increible, lleva con
nosotros 30 años. Es Higienista,
aunque domina todos los ámbitos de
la profesión es especialista en
“Plasma Rico en Plaquetas”, es la auxiliar de la Dra. Monterrubio, y también ayuda al Dr. Padrós a coordinar
el Postgrado de Estética Avanzada
que dirige en la Sociedad Catalana de
Odontología. Siempre se preocupa de
que todos estemos bien. Apasionada
del Ballet y le encantan los gatos, y
viajar.